Llámanos Escríbenos

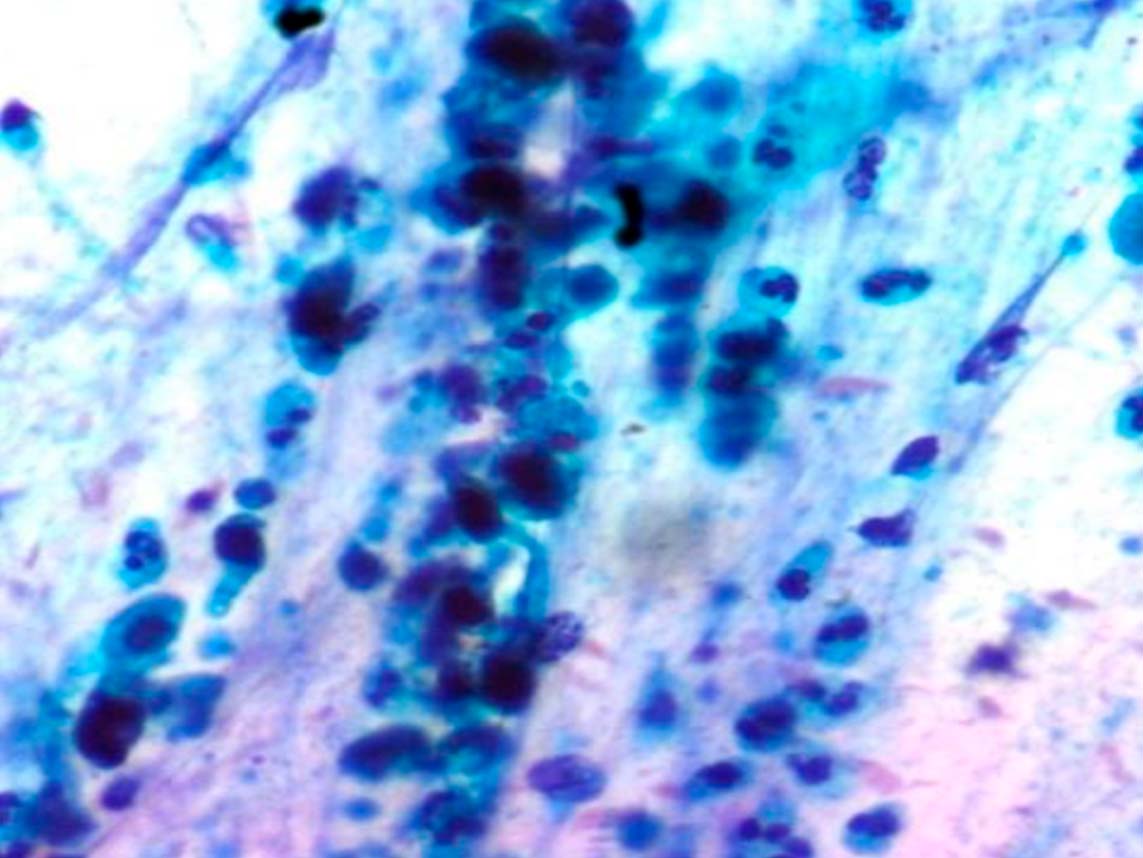
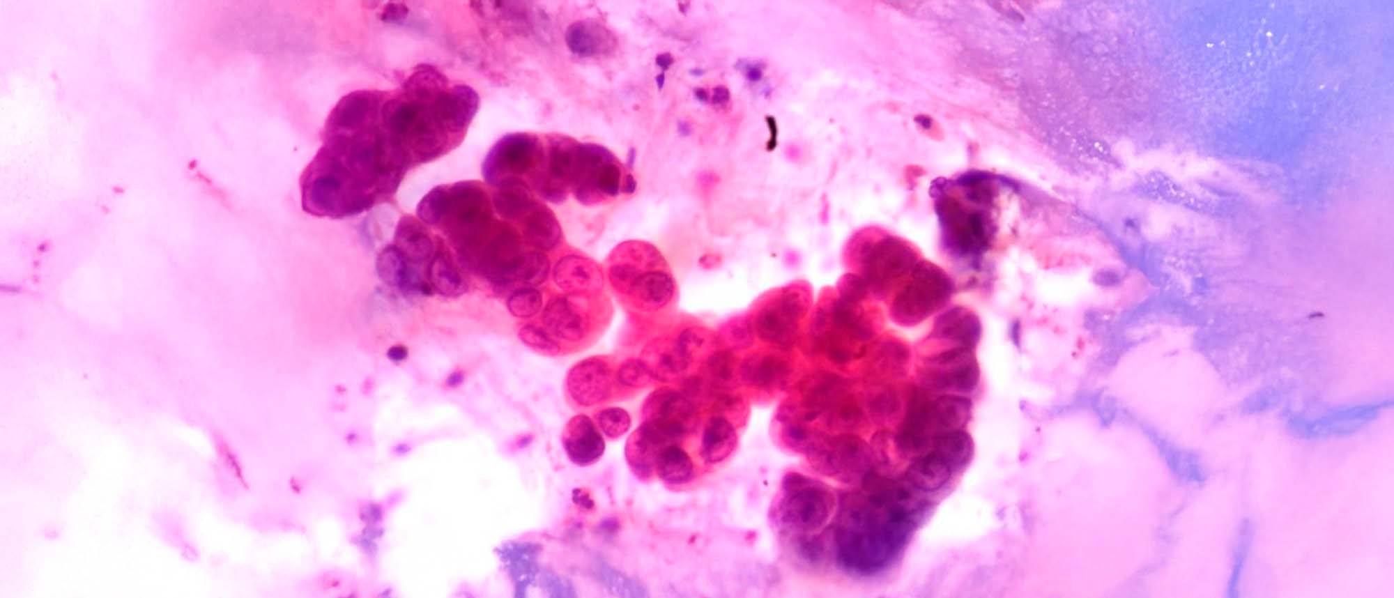
Citología de Expectoración o Esputo

La citología de expectoración es un examen de laboratorio que analiza, mediante microscopía, las células presentes en el esputo para detectar alteraciones anormales.

El esputo (también conocido como flema) es una mucosidad espesa que se produce en los pulmones y las vías respiratorias. Contiene células del sistema inmunitario que ayudan a combatir bacterias, hongos y otras sustancias extrañas que ingresan al sistema respiratorio.

Obtención de la muestra

La muestra de esputo puede obtenerse de distintas formas, según la condición del paciente y el tipo de estudio:

Expectoración espontánea: cuando la persona elimina mucosidad de manera natural.

Inhalación de solución salina: el paciente inhala un vapor de agua salada (solución salina) que estimula la tos para obtener la muestra.

Durante una broncoscopia: procedimiento médico en el que se introduce un broncoscopio para examinar la garganta y las vías respiratorias, recolectando muestras directamente de los pulmones.

Colores del esputo y su posible significado

El color del esputo puede ofrecer información sobre el estado de las vías respiratorias. No obstante, la interpretación siempre debe realizarse por un profesional de la salud:

Transparente: generalmente indica ausencia de infección; si se produce en exceso, puede relacionarse con enfermedades pulmonares crónicas.

Blanco o grisáceo: puede ser normal en pequeñas cantidades, pero su exceso puede sugerir afecciones respiratorias.

Amarillo oscuro o verde: puede asociarse con infecciones bacterianas, como neumonía o fibrosis quística.

Negro: se observa con frecuencia en personas fumadoras o expuestas a polvo de carbón; puede ser signo de neumoconiosis o “pulmón negro”.

Marrón o con manchas marrones: indica la presencia de sangre antigua; puede asociarse con bronquitis bacteriana, neumonía o fibrosis quística.

Rosado: posible signo de edema pulmonar, una acumulación excesiva de líquido en los pulmones.

Rojo: puede corresponder a sangrado reciente; en algunos casos se asocia con cáncer de pulmón o embolia pulmonar.

Importancia clínica

La citología de expectoración permite identificar células anormales que podrían indicar infecciones, inflamaciones o presencia de cáncer pulmonar. Este estudio es una herramienta diagnóstica complementaria para confirmar o descartar enfermedades respiratorias graves y orientar tratamientos oportunos.

Referencias

Mayo Clinic. (2023). Sputum cytology. Recuperado de
https://www.mayoclinic.org/tests-procedures/sputum-cytology/about/pac-20384843

National Cancer Institute. (2022). Sputum cytology test. Recuperado de
https://www.cancer.gov/publications/dictionaries/cancer-terms/def/sputum-cytology

MedlinePlus. (2023). Sputum cytology test – Medical Encyclopedia. Recuperado de
https://medlineplus.gov/ency/article/003857.htm

Cleveland Clinic. (2024). Sputum color: what it means and when to worry. Recuperado de
https://my.clevelandclinic.org/health/articles/24369-sputum-color

World Health Organization. (2021). Guidelines for tuberculosis diagnosis and specimen collection.